




Stoppos
Utazó malac stoppot kapott.
2002-08-14 (130kB) 7
|
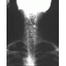
Röntgen
Egyél biztosítótűt! 10 sebészből 9 ezt ajánlja!
2003-01-02 (11kB) 15
|
A jövő
Ilyen lesz a következő kispolski.
2003-02-10 (19kB) 7
|
Tábla
Hejesírás...
2003-03-02 (39kB) 7
|
Kólamámor
Kicsit túl lelkes kólarajongó.
2003-09-04 (8kB) 14
|
Légkondi
Amatőr beszerelésű klímaberendezés.
2004-01-26 (27kB) 6
|
Veszélyes környék
A felnikre nagyon kell vigyázni, ha álumíniumbúl készültek...
2004-02-04 (33kB) 10
|
Ideglelés
Blair Fish Project.
2004-04-14 (26kB) 5
|
Motor
Lóerőben nincs hiány.
2004-11-21 (102kB) 11
|
Utánfutó
Gazdaságos, környezetbarát kisteherautó olcsón eladó.
2005-07-26 () 5
|
Sparta
A 101 spártai.
2007-09-30 (62 kB) 10
|
Parkoló
Helytakarékos megoldás.
2007-11-20 (66 kB) 15
|