|
|
||||||||||||
![]() |
|||||||||||||
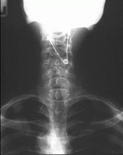
ez télleg nem vicces , egyik osztálytársam is lenyelt egy ilyet , és azóta se jött ki
ááááá s z o p á s lehet lenyelni 1 ilyen tűt
biztos nagyon jó érzés lehetett, bár ezt az eredményt el lehet érni, ha a ruhánkra rakjuk a biztosítótűt,a ruha nem fog meglátszani, de a vége kísérteties lesz!
Az első az az,hogy valaki a dobogón első! VAgy a matekversenyen! ÁÁÁ! Nemtom! Talán az,aki azt írta ,futóversenyen vett részt! :D
Cunami: egyesek azzal szórakoztatják magukat, hogy elsőként kommentálnak egy-egy képet. Ettől érzik jól magukat.
mondjátok már meg nekem mi az hogy: (első)??????????
